——腫瘤/胸外科
隨著人們生活水平的提高,越來越多的人參加健康體檢。經常會有朋友被醫生告知肺里發現有一個“陰影”或“小結節”。聽到這樣的消息,很多人會驚慌失措,頓時感覺心頭被蒙上了一層陰影,茶飯不思、夜不能寐,對日常工作、學習造成很大影響。那么應該怎么正確對待肺部結節呢?
1.什么是肺結節?
指的是病灶的大小,而不是病灶的性質。檢查中發現類圓形的直徑小于3cm的病灶通常描述為結節灶,當直徑小于1cm時常被描述為“小結節”,而直徑小于0.5cm時就被稱為微小或細小結節。肺內結節或小結節分為良性、惡性兩種。
2.為什么有肺部結節的人會那么多?
肺部結節增多原因主要是由于檢出率越來越高,過去肺部體檢主要是拍X光片,但X片對于小于1厘米的結節難以發現。現在由于胸部CT的普及,2毫米以上的結節都能被發現,所以檢出率就高了。同時,由于霧霾等空氣污染的影響,肺部結節的發生率也有所上升。
3.哪些肺部結節惡性可能性大?
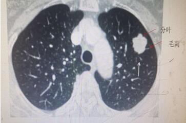
肺內結節,不容忽視,但也不必驚慌。肺部小結節并非一定就是肺癌,惡性腫瘤遠少于良性病變。一般根據結節大小、形態并結合你的年齡與吸煙狀況來分析。通常以下情況肺癌的可能性大:年齡在55歲以上;有慢性肺部疾病史和家族史的患者;肺部小結節直徑>1厘米;邊緣有毛刺和分葉;內部密度不均勻表現為實性結節或者混雜性結節。需要注意的是,有吸煙史的人,是肺癌的高危人群,年數乘以每天吸煙的支數>400支/年的吸煙患者患肺癌的幾率會明顯增高。
4.發現肺部結節怎么辦?
如果體檢發現肺部有小結節,先不要擔心,它不一定是癌;即使是癌,也不必恐慌,因為大多是極其早期的癌癥,只要通過及時恰當的治療,是完全可以痊愈的。大多數考慮良性病變的肺結節只需要定期復查胸部CT,觀察結節變化情況。而高度考慮惡性的結節則需要手術切除。所以在廣大患者發現肺結節時及時看醫生是非常必要的。
5.微創治療肺部結節
目前微創胸腔鏡手術是治療肺部小結節、早期肺癌的主要方法。微創胸腔鏡手術應用廣泛,行肺葉或肺段切除術,具有以下優點:1.手術創傷小,患者痛苦少,早期可進行功能鍛煉。 2.術后恢復快,住院時間短,一般術后3-5日可出院。3.美觀、傷口小,大多數患者樂于接受。4.術后對肺功能損害小,對于術前肺功能較差患者有極大幫助,也因此擴大手術適應癥,對老年患者更安全。
傳統手術及胸腔鏡手術對比
我院腫瘤胸外科在診治肺結節上積累了大量臨床經驗,由專業醫師指導患者治療,根據不同患者的病情制定個性化診療方案,對越來越多的患者提供了更好的選擇。同時與國內外頂尖診療技術接軌,在早期癌的診療技術上有更大提高,因此也挽救了無數家庭。
門診地址:延安大學咸陽醫院外科病院1樓東側
科室地址:延安大學咸陽醫院外科病院16樓
科室電話:029-33783377
苗滿園 主任:13609109358
李偉 副主任:13572760118
專家介紹:
科室介紹:


